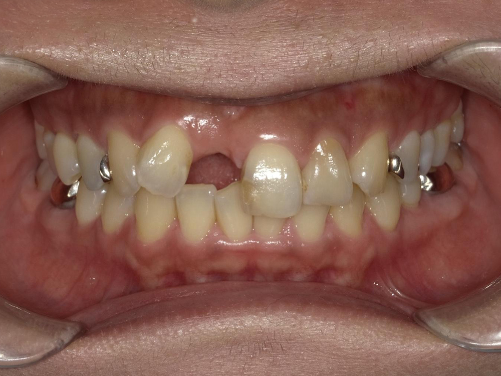
| 症例タイトル |
|---|
| 前歯のガタガタをマウスピース矯正(インビザライン)で治療 |
| 患者様の主訴 |
| 前歯のガタガタがずっと気になっていた 歯を抜かないで治したい |
| 治療内容 |
| 前歯の叢生をインビザラインを使用し非抜歯で治療 |
| 患者様の年齢 |
| 20代 |
| 治療期間 |
| 1年2ヶ月(2〜3ヶ月に一度来院) |
| 治療にかかった総額 |
| 770,000円(税込) |
| 治療する際に起こるリスク・副作用 |
| 疼痛、知覚過敏、顎関節症、虫歯、歯周病、歯根吸収、歯髄壊死、歯肉退縮、歯の亀裂、ホワイトスポット、ブラックトライアングル、隣在歯根の損傷(アンカースクリューによる)など |
NEWS
*2024.8/1~8/31の期間にグループ院17医院に通院された患者さまの合計
いなげや調布仙川店敷地内
-
無料駐車場
162台分 -
仙川駅
徒歩7分 -
仙川バス停
徒歩2分
土日祝日も毎日診療しています
…土日祝の診療は10:00-18:00になります
CONCEPT
患者さまのご希望が第一
幅広い診療で
悩みを解決します
保険診療から審美・矯正・
インプラントまでお任せください
仙川の「仙川歯科・矯正歯科」は、患者さまのことを第一に考える歯医者です。患者さまが「痛くなくて良かった」と安心・満足できる治療を心がけています。
患者さまのお話をじっくり伺い、ご希望を第一に考え、幅広い選択肢をご提示します。保険診療から矯正歯科治療・インプラント治療などの自費診療まで幅広く対応するので、ご相談ください。
TROUBLE
歯のお悩みやご希望は
どんなことでも
ご相談ください
歯やお口に関するお悩み・ご要望はどんなことでもご相談ください。急患対応も行っています。「急に歯が痛くなった」「歯が欠けてしまった」「休日でどこもやっていない」とお困りでしたら、当院にご連絡ください。
- 急に歯が痛くなった
- 休みの日に歯を見てほしい
- 他院で入れた詰め物が取れた
- 事故で歯が折れた・欠けた
- 久しぶりに歯医者に行きたい
- 中断していた治療を再開したい
DOCTOR
患者さま一人ひとりに
寄り添い、地域に愛され
信頼される歯科医院へ
仙川歯科・矯正歯科
院長 坂下 大知
仙川の歯医者「仙川歯科・矯正歯科」は地域に根ざし、皆さまに愛され信頼される歯科医院を目指しています。患者さまに寄り添ってお話を伺い、治療中の細かな動作にも気を配ります。治療中にビクッと身体が動いてしまうようでしたら、痛みに配慮しお声がけしながら治療を進めていきます。患者さまが安心して快適に治療を受けられるように、十分な配慮や心配りをします。
経歴
- 北海道大学卒業
- 日之出歯科 大通り 研修
- 医療法人社団大志 北上尾本院勤務
矯正歯科治療・インプラント治療を中心に、幅広い診療の研鑽を積んできました
当院の院長は、法人医院にて院長を務める中で幅広い診療の経験を積んできました。特に矯正歯科治療やインプラント治療の実績が豊富です。法人内の研修や勉強会・セミナーにも積極的に参加し、最新の治療技術を学んでいます。専門的な視点から、お口全体を考える歯科診療を行うの、当院にご相談ください。
CASE
症例紹介
マウスピース矯正の症例
症例について詳しく見る
セラミックを用いた補綴の症例
症例について詳しく見る
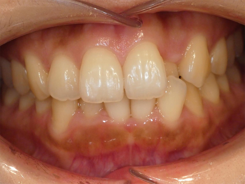
| 症例タイトル |
|---|
| 右上前歯部欠損をセラミックブリッジで補綴した症例 |
| 患者様の主訴 |
| 右上の抜けた前歯を入れたい 隣の歯も全体をきれいにしたい |
| 治療内容 |
| 右上①~③にセラミックブリッジ |
| 患者様の年齢 |
| 40代 |
| 患者様の性別 |
| 女性 |
| 治療期間 |
| 1ヶ月 |
| 治療にかかった総額 |
| 396,000円(税込) |
| 治療する際に起こるリスク・副作用 |
| 疼痛、知覚過敏、歯根吸収、歯肉退縮、歯肉炎、歯髄壊死、歯髄炎、虫歯、歯周病、脱離など |
POLICY
より多くの患者さまの
お口のお悩みを
解決したい
平日は21時まで、土日祝日も休まず診療を行っています。「平日は予定を空けられない」「急に歯が痛くなった」という方も、お越しいただきやすい歯医者です。下記のようなお悩みがある方も、当院へご相談ください。
- 急に歯が痛くなった
けど、休日なので
どこもやっていない… - 専門的な治療を受け
たいが、平日に休みを
取るのが難しい…
当院ならばでも、、矯正歯科治療やインプラント治療などの大学病院レベルのできます。とお困りの方もお任せください。
TREATMENT MENU
診療メニュー
ORTHODONTICS
ワイヤー矯正や
マウスピース矯正も
常駐の歯科医師が対応
無料相談
受付中
インビザライン*・ダイヤモンドプロバイダー認定
矯正歯科治療は、常勤の歯科医師が対応します。そのため、患者さまのご都合に合わせて予約を取っていただけます。また、一般歯科医院なので、お口全体を考えた包括的な治療が可能です。歯並びや噛み合わせとともに、虫歯・歯周病治療、予防・メインテナンスなども、当院ですべてまとめて行えます。
口腔内スキャナーによる
負担のない型採りと
精密な矯正歯科治療
歯型の採取は、iTeroエレメントという口腔内スキャナーによって行います。光学スキャンによる短時間で、患者さまにかかる負担もほとんどありません。また、型採りデータをもとにシミュレーションして、治療後の歯並びイメージをその場でご確認いただけます。治療後を目で見て、納得したうえで矯正歯科治療を進められます。
無料相談を実施しているので、矯正歯科治療をご検討の方はご来院ください。
IMPLANT
3DCTによる
精密な診査・診断と
安全で精度の高い
インプラント治療
無料相談
受付中
インプラント治療の前に、歯科用3DCTによる診査・診断を行っています。あごの骨の状態をしっかり確認し、埋入したインプラントを長期的に安定させるためです。骨の状態や神経・血管の位置を把握し、安全にインプラントを埋入できる深さ・位置・角度を慎重に検討します。
当院のインプラント治療
5つのこだわり
衛生的で設備の整った
専用オペ室を完備
サージカルガイドで
安全・精密な埋入
麻酔科医による
安心の静脈内鎮静法
世界No.1シェアの
ストローマン社製
身体への負担が少ない
抜歯即時埋入に対応
他院にても、一度ご相談ください。
FEATURES
患者さまに選ばれる
当院の強み
-
いなげや調布仙川店敷地内
通院しやすい地域の歯医者
01
仙川駅
徒歩7分土日祝日も
休まず診療平日夜21時
まで診療大型駐車場
完備急患も
当日対応当院は、京王線仙川駅から徒歩7分の「いなげや調布仙川店」敷地内にあります。平日は21時まで、土日祝日も休まず診療しています。大型駐車場も完備。仕事帰りや買い物ついでなど、どなたでもお気軽にご利用いただけます。
-
複数の歯科医師が在籍
担当歯科医師制を採用する歯医者
02
当院は担当歯科医師制を採用しています。毎回同じ歯科医師が担当するので、コミュニケーションを取りながら和やかに診察を受けていただけます。また、複数の歯科医師が在籍しているので、患者さまの症状にあわせて専門性の高い歯科医師が連携し、安全で精密な治療をご提供いたします。
-
保険・自費どちらでも
患者さまにとって
最善の治療をご提案
03
保険診療・自費診療いずれかに限定せず、患者さまにとってより良い治療法を考えてご提案いたします。患者さまのお口の状態やライフスタイルを考慮したうえで、より最善の治療法を一緒に探していきましょう。
-
精密治療を実現する
設備の積極導入04
iTero エレメント
3DCT
より安全で精密な治療をご提供するため、当院では設備導入を積極的に行っています。たとえば、3次元撮影が可能な歯科用3DCT、精度の高い型採りを実現する口腔内スキャナーなどです。また、院内も清潔に保ち、快適で安全な空間をつくりだしています。
-
関東で18院展開する法人医院
法人内技工所で
スピーディーに製作
05
当院は、都内に18院展開する「医療法人社団 大志」の歯科医院です。医療体制や研修システムが整備されているので、知識・経験豊富なスタッフが揃っています。また、法人内技工所があるので、精密な技工物をスピーディーにお渡しできます。
NEWS
新着情報
すべて
お知らせ
ブログ
症例
