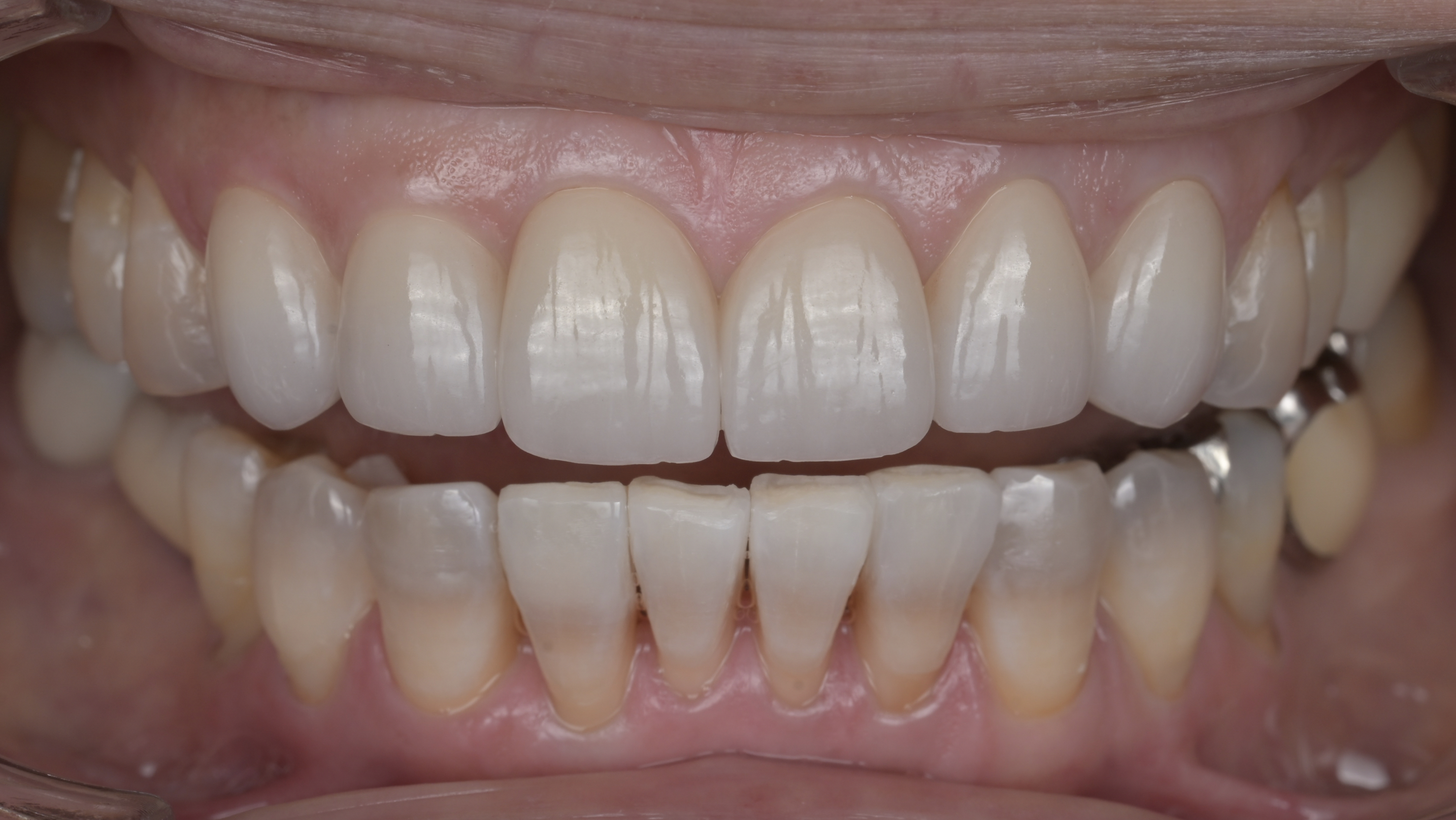
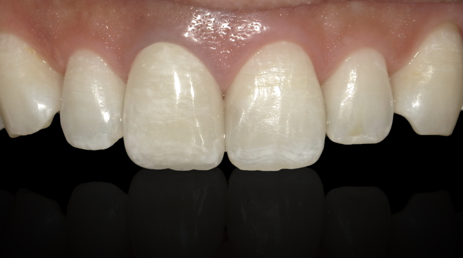
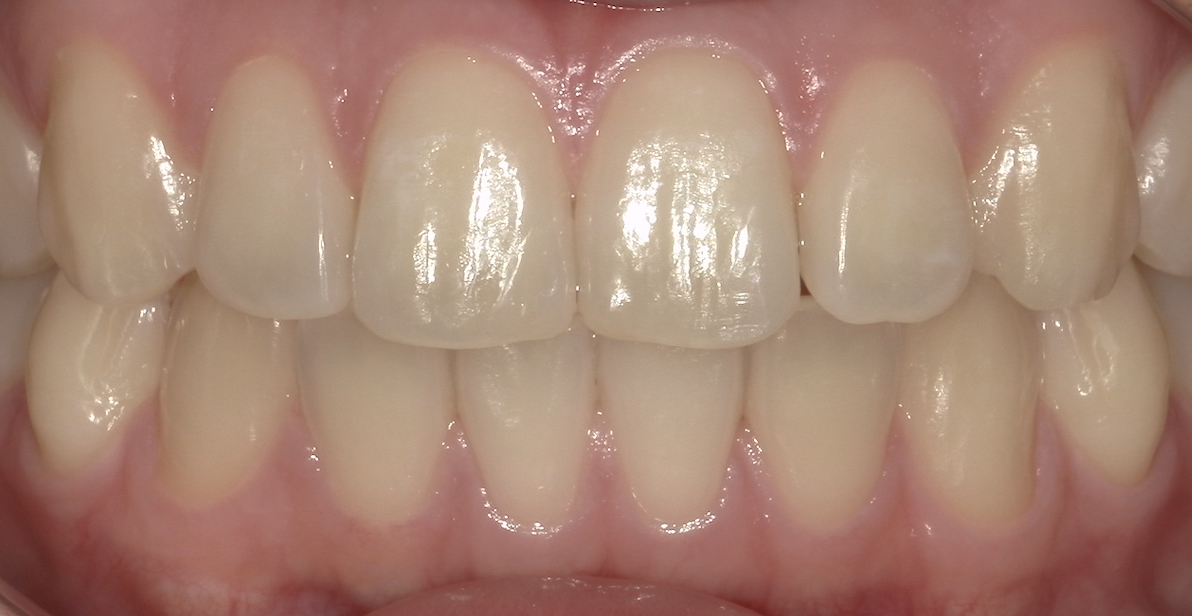
矯正症例・審美症例|仙川の歯医者・矯正歯科「仙川歯科・矯正歯科」

仙川歯科・矯正歯科

  • 仙川駅
    徒歩7分
  • 平日21時
    まで診療
  • 大型駐車場
    完備
  • いなげや
    調布仙川店
    敷地内

土日祝日も毎日診療

土日祝日も毎日診療土日祝日も

〒182-0002
東京都調布市仙川町3丁目4-1 いなげや調布仙川店敷地内

Instagramボタン

  • 無料駐車場
    162台分
  • 仙川駅
    徒歩7分
  • 仙川バス停
    徒歩2分

24時間受付中WEB診療予約

03-5969-8608

土日祝日も毎日診療しています

診療時間:平日10時~21時・土日祝10時~18時・休診:年末年始f

土日祝の診療は10:00-18:00になります

Google map

Copyright ©仙川の歯医者・矯正歯科なら「仙川歯科・矯正歯科」|
仙川駅徒歩7分・大型駐車場完備 All Rights Reserved.

土日祝日も毎日診療しています