すきっ歯は1日で治る?|仙川の歯医者・矯正歯科「仙川歯科・矯正歯科」の矯正症例・審美症例

仙川歯科・矯正歯科

  • 仙川駅
    徒歩7分
  • 平日21時
    まで診療
  • 大型駐車場
    完備
  • いなげや
    調布仙川店
    敷地内

土日祝日も毎日診療

土日祝日も毎日診療土日祝日も

NEWS

すきっ歯は1日で治る?

ダイレクトボンディングで歯を削らずに、1日で治療が終わります!

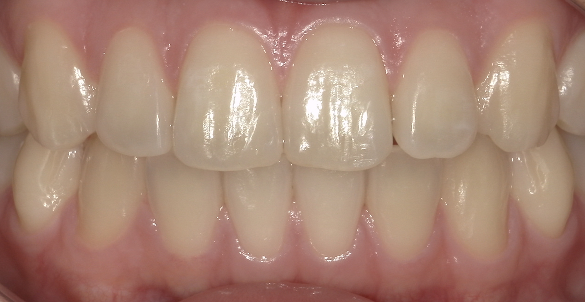
治療前

1時間後

仙川歯科・矯正歯科 院長の坂下です!

今回はダイレクトボンディングのご紹介です!

 

前歯のすき間が気になる…

セラミックや矯正はちょっと抵抗がある…

そんなお悩みを持つ方にぜひ知っていただきたいのが、ダイレクトボンディングによるすきっ歯治療です。

 

今回ご紹介するのは、前歯の真ん中にすき間(正中離開)がある患者様の症例です。

「できるだけ歯を削らず、できるだけ早く治したい」とのご希望があり、コンポジットレジンを直接盛り付けて形を整える“ダイレクトボンディング”を選択しました。

 

歯を全く削らずに麻酔も必要ありません!

仕上がりもとても自然で、患者さまにも「自信を持って笑えるようになった」と喜んでいただけました。

 

「矯正までは考えていないけど、前歯のすき間をどうにかしたい…」

そんな方には、低侵襲で即日対応も可能なダイレクトボンディングがおすすめです。

 

まずは無料相談で、お気軽にご相談ください。

 

【治療内容】

 

・前歯の正中離開に対し、ダイレクトボンディングで形態修正

・治療時間:約60分(1回)

・歯の切削:なし

 

 

 

【注意点】

• 材質は経年劣化や着色が起こることがあります(定期的なメンテナンスを推奨)

• 噛み合わせや習癖により破折・脱離の可能性もあります

• 仕上がりは歯の形・色・状態によって異なります

 

※この治療は自由診療(保険適用外)です。

※治療結果には個人差があります。

症例タイトル ダイレクトボンディングによる、すきっ歯の改善
患者様の主訴 すきっ歯が気になる
治療内容 ダイレクトボンディング
患者様の年齢 20代
患者様の性別 女性
治療期間 1日
治療にかかった総額 66000円
治療する際に起こるメリット 歯を削らない、1日で治療が完了
治療する際に起こるリスク・副作用 レジンがかけることがある

〒182-0002
東京都調布市仙川町3丁目4-1 いなげや調布仙川店敷地内

Instagramボタン

  • 無料駐車場
    162台分
  • 仙川駅
    徒歩7分
  • 仙川バス停
    徒歩2分

24時間受付中WEB診療予約

03-5969-8608

土日祝日も毎日診療しています

診療時間:平日10時~21時・土日祝10時~18時・休診:年末年始

土日祝の診療は10:00-18:00になります

Google map

Copyright ©仙川の歯医者・矯正歯科なら「仙川歯科・矯正歯科」|
仙川駅徒歩7分・大型駐車場完備 All Rights Reserved.

土日祝日も毎日診療しています