前歯を綺麗に治したい方必見!|仙川の歯医者・矯正歯科「仙川歯科・矯正歯科」の矯正症例・審美症例

仙川歯科・矯正歯科

  • 仙川駅
    徒歩7分
  • 平日21時
    まで診療
  • 大型駐車場
    完備
  • いなげや
    調布仙川店
    敷地内

土日祝日も毎日診療

土日祝日も毎日診療土日祝日も

NEWS

前歯を綺麗に治したい方必見!

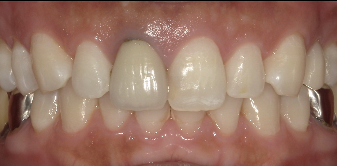
どれがセラミックかわかるでしょうか?

仙川歯科・矯正歯科 院長坂下です!

 

こだわりのセラミック治療の紹介をさせていただきます!

 

前歯のセラミック治療は非常に難易度が高いです。

一歩間違えると色や形が隣の歯と合わずに悪目立ちしてしまいます。

 

患者様は昔他院で治療したセラミックの色が合わずにずっと気にされていたそうです。

右の前歯が他の歯と比べると色も異なり、違和感がある状態でした。

 

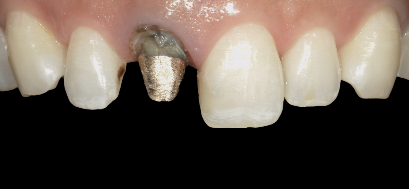
被せ物を外してみると中では虫歯も広がっていました。

金属の土台から(メタルコア)からファイバーポストに置き換え綺麗に形を整え直しました。

そこからセラミック作りに取り掛かります。

セラミック治療は完全オーダーメイドの治療になります。

歯の色、形、透明感などを観察しながら隣の歯にそっくりな歯を作っていきます。

 

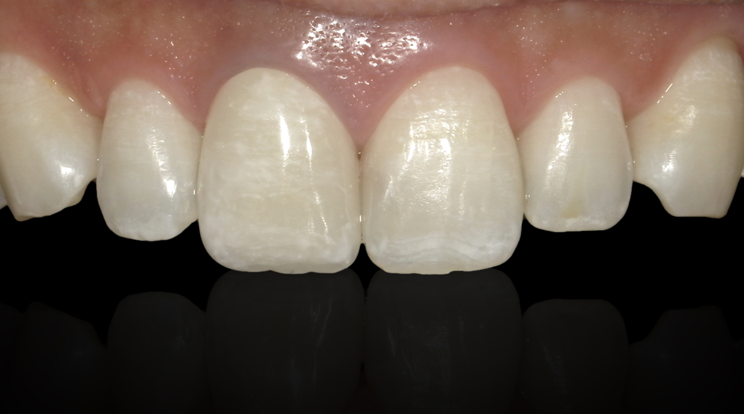
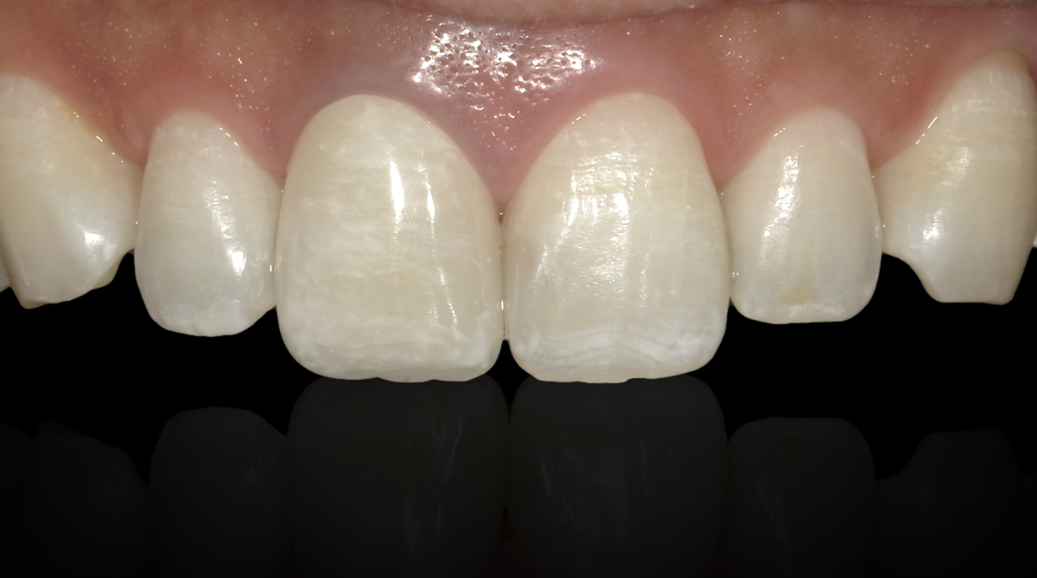
こちらが完成したセラミックをつけた状態です!

こちらのセラミックは坂下が自分で作った物になります

普段は技工士さんにセラミックを作ってもらうことが多いですが、このような難しい症例は坂下自らセラミックを作ることも多いです。

 

昔治療した歯の色が気になる方や、綺麗な治療をお望みの方はぜひ一度ご相談いただければと思います!

症例タイトル 前歯のセラミック治療
患者様の主訴 前歯の色が気になる
治療内容 右上のセラミックのやりかえ
患者様の年齢 40代
患者様の性別 女性
治療期間 2回
治療にかかった総額 165,000円

〒182-0002
東京都調布市仙川町3丁目4-1 いなげや調布仙川店敷地内

Instagramボタン

  • 無料駐車場
    162台分
  • 仙川駅
    徒歩7分
  • 仙川バス停
    徒歩2分

24時間受付中WEB診療予約

03-5969-8608

土日祝日も毎日診療しています

診療時間:平日10時~21時・土日祝10時~18時・休診:年末年始

土日祝の診療は10:00-18:00になります

Google map

Copyright ©仙川の歯医者・矯正歯科なら「仙川歯科・矯正歯科」|
仙川駅徒歩7分・大型駐車場完備 All Rights Reserved.

土日祝日も毎日診療しています